Profesor muestra reveladoras fotos sobre las diferencias en el desarrollo del cerebro de los niños de acuerdo al amor o al maltrato de sus padres
El scan de los dos niños de 3 años muestra diferencias atroces y la única diferencia está en el tipo y la cantidad de amor que recibieron de sus padres.
Viviana Domínguez
Una gran diferencia que no se nota a simple vista
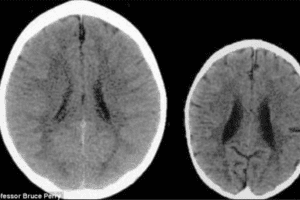
Bruce Perry, jefe del departamento de Psiquiatría del Hospital de Niños de Texas, compartió fotos comparativas de un escaneo cerebral de dos niños de 3 años de edad, en el cual se puede apreciar la diferencia atroz entre una y la otra.
De acuerdo a lo publicado en el Daily Mail, la razón principal del especialista fue demostrar cómo el maltrato infantil afecta el cerebro de las personas.
Las fotos comparativas son entre la de un niño de 3 años, quien ha recibido amor y cuidado durante sus primeros años de vida (cerebro grande adecuado a la edad cronológica), y por otro lado el cerebro de un pequeño quien recibió maltrato infantil durante el periodo de esos tres años (foto del cerebro pequeño de la derecha).
El especialista afirma con sus propias palabras “estas imágenes ilustran el negativo impacto que la negligencia produce en el desarrollo del cerebro”, en otras palabras, el cerebro crece dos veces más lento que lo normal en estos casos.
Los efectos funcionales de un cerebro pequeño
Debido a la disminución del desarrollo cerebral, esto trae consigo consecuencias de funcionamiento tales como:
- Problemas de memoria.
- Problemas de retraso para aprender.
- Problemas cognitivos o de pensamiento.
- Problemas en la relación viso-motora, tan necesaria para el aprendizaje de la escritura.
- Como consecuencia de estos efectos funcionales, el niño pierde interés en el aprendizaje, causando problemas a nivel emocional y de comportamiento.
El doctor Perry agrega a su vez, que como consecuencias funcionales, el área de socialización se verá afectada, y estos niños tendrán problemas para relacionarse, confiar o amar a otros.
Cuando criamos con amor, las diferencias se notan también
El Dr. Bruce Perry concluye su informe manifestando que “Un desarrollo saludable del Sistema Nervioso, que implica una función óptima social y emocional, depende del cuidado parental durante la niñez, y la oportunidad de relacionarse con otros niños y adultos durante su infancia”.
SIn duda que todo ser humano responde en forma positiva cuando es tratado con amor, paciencia y cuidado, y aunque parezca algo común de hacer, no siempre se da el cuidado y amor que todos necesitamos durante la infancia.
La escuela de Medicina de la Universidad de Washington en St. Louis USA encontró que los niños que han sido cuidados y apoyados por sus madres durante los primeros años de vida presentan un cerebro con un Hipocampo más grande, demostrando por primera vez que este hecho significativo en esta área cerebral, tiene una vinculación con el cuidado de la madre.
El hipocampo y su función en el cerebro
De acuerdo a lo enunciado, los niños no sólo necesitan de nuestro amor y cuidado para su crecimiento sino para el mejor funcionamiento del cerebro, pero es bueno aclarar porque el hipocampo es tan importante y cuál es su función.
El hipocampo es un órgano muy pequeño situado en el lado parietal del cerebro, integra el sistema límbico, el de las emociones propiamente dicho, además está asociado a la función de la memoria, de largo plazo, un daño en esta área deteriora la memoria en forma significativa siendo una de las principales sintomas del Alzheimer.
Si por alguna razón esta área se ve afectada las personas presentan problemas en:
-
Memoria: específicamente afecta la amemoria declarativa y episódica, por lo que la persona no puede sostener un relato consecutivo, o recordar algún suceso ocurrido.
-
Dificultad en la memoria espacial: Todos desarrollamos una noción de espacio, lugar que ocupan las cosas, lugar necesario para desplazarse, etc.
-
Incapacidad inhibitoria: Las personas pueden ser más hiperactivas, y presentan problemas en el control de sus impulsos ya que la función inhibitoria está afectada.
Advertisement
Conclusión
Parece mentira que un estudio científico neurológico resalte la importancia del cuidado y protección a nuestros hijos durante su desarrollo, pero además se sabe lo positivo y NECESARIO que es que los hijos reciban todo el amor, cuidado y protección que los padres pueden ofrecerles y no tan sólo para el bien del cerebro, sino para el desarrollo total de la persona. No en vano es justamente el “amor de una madre” lo que mejora el cerebro.
